設備紹介
facility
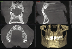
歯科用CT
 
当院では、3D(3次元)の立体画像からの情報をもとに、今まで見えなかった部分が見えることで、より正確なレントゲン診断ができるようになりました。
さらに、超高解像画像から広範囲撮影まで可能で、医科用CTの約5倍の情報量を得られますので、患者さんにとってより安心で納得の治療がおこなえるようになりました。
生体情報モニター
 
当院では、生体情報モニターを導入しました。
外科手術時の血圧・脈拍・心電図・血中酸素をはじめとするオペ中の身体の情報を、断続的にモニタリングすることが可能となりました。
急な体調変化にいち早く対応できるように万全な体制をとっております。
AED 自動体外式除細動器
 
当院では、安心して治療を受けていただくために、院内にAEDを完備しています。
あってはならないことですが、病気や事故、緊張で脈が速くなったり血圧が上がってしまったり、そんな万が一の事態にも迅速に対応できるよう、救急蘇生を院内研修で実施しております。
口腔外バキューム
 
治療中に飛沫する細菌や粉塵を吸い取る機械です。
粉塵が空気中に広がる前に口腔外バキュームで吸引し、診療室内の空気をいつも清潔に保っています。
唾液検査
 
 
当院では ライオンのSMT唾液検査システムを取り入れております。
3ステップで5分の検査時間で、しかも一度の検査で6項目を測定できる優れた検査機能です。
歯の健康(虫歯)、歯ぐきの健康(歯周病)、口腔清潔度(口臭のリスク)など、客観的にわかり適切な治療をさせていただくための、データを得ることができる新しいツールです。
すぐに結果が出ますので、その場で検査結果の説明をわかりやすく行うことができます。
口腔内カメラ(sync vision)
 
当院はワイヤレス口腔内撮影用カメラを導入しています。
患者さんに実際の口腔内の状況を把握していただくことと、実際の画像を見ることでわかりやすいカウンセリングが可能となりました。
また、あらゆる角度から口腔内撮影が可能でLEDライトを装着しているので暗くて見づらいこともなく、明るく鮮明に撮影できます。術前・術後の比較にも役立っています。
患者さんの納得度もぐんと上がっています。
口腔カメラ(Eyespecial)
 
歯は、お顔の中でも特に目立つパーツのひとつです。
当院で使用している歯科専用デジタル口腔内撮影装置では、高画質で鮮明な画像により治療前後のお口のようすをご確認いただけます。
治療計画を立てる際に使用するほか、術後にお口や歯の見た目がどのように変化したのかを患者さんに把握いただくことで、その後のケアや経過観察にも役立ちます。
口腔水分計
 
唾液の分泌量が少なかったり口呼吸の癖があったりすることで、お口の中の水分量は少なくなります。
お口の水分不足は口臭や虫歯の原因となるほか、高齢者の場合では嚥下(飲み込み)機能に影響することがあります。
口腔水分計は、約2秒で患者さんのお口の中の水分量を測定し、お口の乾燥状態をひとめでチェックすることができます。
口腔機能測定器
 
介護や支援が必要になる原因として、「脳血管疾患」「認知症」に次いで多いのが「高齢による衰弱」「骨折・転倒」です(内閣府より)。
運動器機能や筋力の低下はよく知られているところですが、口腔機能の低下もまた、高齢者の方の栄養状態などを大きく左右することで介護リスクとなることをご存知でしょうか。
口腔機能測定器は、嚥下や呼吸、咀嚼、発音といったお口の機能を測定し、わかりやすく数値化してくれることで、お口の機能維持を助けます。
咀嚼能力検査キット
 
グルコースを含んだグミ(グルコラム)を噛んでいただき、溶け出すグルコースの量を調べることで咀嚼機能を測定できる検査キットです。
咀嚼機能は、歯並びや噛み合わせによっても影響されます。
矯正治療や新しく入れ歯をつくるときなどに測定することで、術前後の咀嚼能力を比較しながら治療を進めていくことができます。
炭酸ガスレーザー
 
炭酸ガスレーザーは、歯ぐきの腫れや歯ぐきの黒ずみ、歯肉の切除など、口内炎の消炎を抑えるために用いられます。
術後の痛みや出血を少なくすることができ、また歯髄(神経)保護処置や傷口の消毒にも有効です。
また、レーザー治療器は出血も少なく、殺菌効果があり、痛みが少なく、痛みを和らげたり、腫れをおさえキズの治りを早くする効果もあります。
知覚過敏、歯周病等、幅広い治療に使用されています。
カートリッジウォーマー
 
カートリッジの麻酔液を、人肌に近い37℃に温めます。
より痛みの少ない浸潤麻酔を行い、さらなる麻酔注射の無痛化や快適化に努めます。
根管形成装置
 
「X・smart plus(根管拡大装置)」は精密な処置が求められる根管治療を行なうときに、根管を拡大・形成する装置です。
根管の長さを測りながら、同時にトルクをコントロールしてスピーディに回転させます。
効率良く神経管の感染象牙質を除去し、根管充填しやすい根管形成を行います。特に感染根管については、治療期間の短縮が期待できます。
根管治療において、素早く正確に病巣を除去することが可能となるのです。
超音波歯周用スケーラー
 
 
チップ(先端)が超音波の一定高振動数を維持しながら、歯石の部分に当てながら歯石を粉々にします。
痛みと時間を最小限に抑えられ、歯石除去するときのチップ(先端)も極細を使って、歯と歯ぐきの負担を軽減しながら歯石やバイオフィルムを除去することが可能になりました。
歯科用ハンドピース専用滅菌機
 
常に清潔に、もっと安心して治療を受けていただけるようにするには、確実に毎度使用ごとに滅菌することが大切です。
当院では、小型滅菌器「iCare」「iClave mini」を導入しています。
「iCare」は日々の診療に不可欠なハンドピースの自動洗浄・注油システムです。ハンドピースのタイプに応じて、適正な清浄プログラムと注油量のメンテナンスができます。
「iClave mini」は、タービンなど歯を削るハンドピース専用オートクレーブ滅菌機器です。ヨーロッパ滅菌基準ClassS準拠の性能があります。高圧蒸気で滅菌することで器具を常に清潔な状態に保ち、毎回、清潔な器具を使用した治療が可能になりました。従来の方法では滅菌できなかった細菌やウイルスを完全滅菌することで、患者さんを細菌から守ります。
エアフローハンディPlus
快適にできる患者さんに優しいパウダークリーニング
 
 
エアフローハンディプラスを用い、プラークやバイオフィルムの徹底清掃をおこないます。
非常に細かなパウダーを歯の表面に吹き付けることで付着したバイオフィルム(細菌のかたまり)を除去することが出来ます。狭い歯肉ところまでしっかり取れ、しかも表面を傷つけません。
着色汚れもしっかりキレイにすることが出来ます。
気になる方はスタッフまでお気軽にお尋ねください。こちらは、自由診療となります。
